
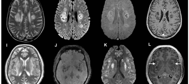
Imagens cerebrais de pacientes com coronavírus, de um estudo publicado em julho. Alguns desenvolvem complicações neurológicas graves, incluindo danos nos nervos. Foto: Ross W. Paterson, Rachel L. Brown, et al. / Imprensa da Universidade de Oxford / via NYT
NOVA YORK — O coronavírus atinge principalmente os pulmões, mas, como já sabe, também os rins, o fígado e os vasos sanguíneos. E cerca de metade dos pacientes relatam sintomas neurológicos, incluindo dores de cabeça, confusão e delírio, sugerindo que o vírus também pode atacar o cérebro.
Um novo estudo oferece a primeira evidência clara de que, em algumas pessoas, o coronavírus invade as células cerebrais, sequestrando-as para fazer cópias de si mesmo. O vírus também parece sugar todo o oxigênio próximo, matando as células vizinhas de fome.
Ainda não está claro, no entanto, como o vírus chega ao cérebro ou com que frequência ele desencadeia essa trilha de destruição. É provável que a infecção do cérebro seja rara, mas algumas pessoas podem ser suscetíveis por conta de seus antecedentes genéticos, uma alta carga viral ou outros motivos.
— Se o cérebro for infectado, isso pode ter uma consequência letal — diz Akiko Iwasaki, imunologista da Universidade de Yale que liderou o trabalho.
O estudo foi divulgado online na última quarta-feira (9) e ainda ainda não foi avaliado por especialistas para publicação. Mas pesquisadores indepedentes destacaram o cuidado científico e o fato de ele elencar várias maneiras em que o vírus pode infectar células cerebrais.
Os cientistas usaram imagens e avaliaram os sintomas dos pacientes para inferir efeitos sobre o cérebro.
— Não tínhamos visto ainda muitas evidências de que o vírus pode infectar o cérebro, embora já soubéssemos que era uma possibilidade potencial — afirmou Michael Zandi, neurologista consultor do Hospital Nacional de Neurologia e Neurocirurgia da Grã-Bretanha. — Esses dados fornecem um pouco mais de evidência de que certamente ele pode.
Zandi e seus colegas publicaram uma pesquisa anterio,r em julho, que já mostrava como alguns pacientes com Covid-19 desenvolvem complicações neurológicas graves, incluindo danos nos nervos.
No novo estudo, a Dra. Iwasaki e seus colegas documentaram a infecção cerebral de três maneiras: no tecido cerebral de uma pessoa que morreu de Covid-19, em um modelo de camundongo e em organóides — agrupamentos de células cerebrais em uma placa de laboratório destinada a imitar a estrutura tridimensional do cérebro.
Mais furtivo do que o Zika
Outros patógenos — incluindo o Zika Vírus — são conhecidos por infectar células cerebrais. As células imunológicas inundam os locais danificados, tentando limpar o cérebro destruindo as células infectadas.
O coronavírus é muito mais furtivo: ele explora o mecanismo das células cerebrais para se multiplicar, mas não as destrói. Em vez disso, sufoca o oxigênio para as células adjacentes, fazendo com que elas murchem e morram.
Os pesquisadores não encontraram nenhuma evidência de resposta imunológica para remediar este problema.
— É uma espécie de infecção silenciosa. Este vírus tem muitos mecanismos de evasão — disse a Dr. Iwasaki.
Essas descobertas são consistentes com outras observações em organóides infectados com o coronavírus, afirmou Alysson Muotri, neurocientista da Universidade da Califórnia, San Diego, que também estudou o Zika.
O coronavírus parece diminuir rapidamente o número de sinapses, as conexões entre os neurônios.
— Dias após a infecção, já observamos uma redução dramática na quantidade de sinapses. Não sabemos ainda se isso é reversível ou não — disse Muotri.
O vírus infecta uma célula por meio de uma proteína em sua superfície chamada ACE2. Essa proteína aparece em todo o corpo e especialmente nos pulmões, explicando por que são alvos favoritos do vírus.
Estudos anteriores sugeriram, com base em uma representação dos níveis de proteína, que o cérebro tem muito pouca ACE2 e provavelmente seria poupado. Mas a Dra. Iwasaki e seus colegas olharam mais de perto e descobriram que o vírus poderia de fato entrar nas células cerebrais usando essa porta.
Sua equipe então examinou dois conjuntos de camundongos — um com o receptor ACE2 expresso apenas no cérebro e o outro com o receptor apenas nos pulmões. Quando os pesquisadores introduziram o vírus nesses ratos, os infectados no cérebro perderam peso rapidamente e morreram em seis dias. Com os camundongos infectados no pulmão não aconteceu nada.
Apesar das ressalvas associadas a estudos com ratos, os resultados ainda sugerem que a infecção por vírus no cérebro pode ser mais letal do que a infecção respiratória, disse a Dr. Iwasaki.
O vírus pode chegar ao cérebro por meio do bulbo olfatório — que regula o cheiro — pelos olhos ou até mesmo pela corrente sanguínea. Não está claro qual rota o patógeno está tomando e se o faz com frequência suficiente para explicar os sintomas vistos nas pessoas.
— Acho que este é um caso em que os dados científicos estão à frente das evidências clínicas — disse Muotri.
Mais análises
Os pesquisadores ainda precisarão analisar muitas amostras de autópsia para estimar o quão comum é a infecção cerebral e se ela está presente em pessoas com doença mais branda ou naquelas em que os sintomas persistiram por meses, muitos dos quais apresentam uma série de sintomas neurológicos.
De 40 a 60% dos pacientes hospitalizados com Covid-19 apresentam sintomas neurológicos e psiquiátricos, segundo o Dr. Robert Stevens, neurologista da Universidade Johns Hopkins. Mas nem todos os sintomas são decorrentes da invasão do vírus nas células cerebrais. Eles podem ser o resultado de uma inflamação generalizada em todo o corpo.
Por exemplo, a inflamação nos pulmões pode liberar moléculas que tornam o sangue pegajoso e obstruem os vasos sanguíneos, causando derrames.
— Não é necessário que as próprias células cerebrais sejam infectadas para que isso ocorra — disse Zandi.
Mas, em algumas pessoas, ele acrescentou, pode sim ser o baixo nível de oxigênio no sangue das células cerebrais infectadas que leva aos derrames:
— Diferentes grupos de pacientes podem ser afetados de maneiras diversas. É bem possível que você veja uma combinação de ambos — afirmou.
Alguns sintomas cognitivos, como névoa cerebral e delírio, podem ser mais difíceis de detectar em pacientes sedados e usando ventiladores pulmonares. Os médicos devem planejar reduzir os sedativos uma vez por dia, se possível, para avaliar os pacientes com Covid-19, afirma Stevens.
Fonte: Jornal O Globo



















