
Omar Jimenez foi algemado pelos policiais durante uma transmissão ao vivo mesmo depois de ter se identificado. Equipe da CNN foi liberada.
Quando se trata de medir a inteligência, há muitas habilidades que entram em jogo, desde a resolução de problemas e habilidades relacionadas às relações espaciais à consciência emocional e a memória.
Mas uma coisa é clara: a inteligência é importante. As pessoas que se saem bem nos testes de inteligência tendem, em média, a viver mais, envelhecem melhor e são mais propensas a obter sucesso acadêmico e profissional.
A boa notícia é que mais e mais pesquisas indicam que a inteligência não é fixa. Até alguns anos atrás, se acreditava que nascemos com todas as células cerebrais que teríamos na vida e que elas entrariam em declínio a partir da quinta década de vida. Agora, sabemos que isso não é verdade.
Inteligência artificial bate médicos em diagnósticos de câncer de mama
Como o debate de ideias aprimora nossa inteligência
Tecnologias como ressonância magnética (MRI) e magnetoencefalografia (MEG) nos permitem ver o interior dos cérebros vivos e observar como eles funcionam de maneiras que não eram possíveis há uma década.
Isso lançou luz sobre algo que os cientistas chamam de “neuroplasticidade”: a ideia de que nossos cérebros mudam com a formação de novas células e conexões ao longo de nossas vidas.
Além disso, agora sabemos muito mais sobre até que ponto essas mudanças são influenciadas pelo mundo ao nosso redor e até pelas decisões que tomamos em nossas vidas diárias.
Isso nos apresenta a possibilidade tentadora de termos mais controle sobre nosso cérebro e nossa capacidade cognitiva do que pensávamos.
É por isso que é tão importante entender como nossa inteligência funciona, quais fatores a afetam e como ela pode ser aprimorada.
Com isso em mente, em janeiro de 2020, a BBC convidou o público a participar de um teste de inteligência desenvolvido pelo cientista Adam Hampshire, do Imperial College de Londres.
Mais de 250 mil pessoas já responderam perguntas sobre si mesmas e depois foram testadas, com atividades que às vezes se parecem com jogos.
“Este é um número fenomenal”, diz Hampshire. “É o equivalente a cerca de 125 mil horas de testes, ou mais de 14 anos.”
Esses números fornecem informações sobre como os diferentes tipos de inteligência humana estão relacionados a variáveis como estilo de vida, personalidade e o uso da tecnologia.
As mais de 250 mil respostas que chegaram – que fazem desse teste o maior do gênero – e as que continuarão a chegar contribuirão para uma importante investigação científica, que ajudará os cientistas do Imperial College de Londres a entender como nosso comportamento tem afetado nossa inteligência.
Com os dados coletados até o momento, o teste já revelou algumas descobertas inesperadas. Mas, antes de contar quais são, é importante destacar alguns pontos: este não é um teste de QI, porque os cientistas estão medindo o desempenho em diferentes aspectos da inteligência relacionados a sistemas cerebrais específicos; os participantes são majoritariamente britânicos.
Quem é melhor na solução de problemas?
Quando se trata de habilidades para resolver problemas, descobrimos que aqueles que disseram gostar de comer frutas e legumes tiveram um desempenho melhor.
Obviamente, ainda não se sabe se frutas e legumes nos tornam mais inteligentes ou se as pessoas mais inteligentes simplesmente optam por comer refeições saudáveis.
Mas o fator mais importante na capacidade de resolução de problemas foi a idade. As pessoas na casa dos 20 anos tiveram melhor desempenho, que piorou drasticamente entre os participantes mais velhos.
Além disso, descobrimos que a memória de trabalho, a inteligência espacial e a atenção atingem um pico em torno dos 20 anos e diminuem depois disso.
É porque, com o passar dos anos, nossos cérebros literalmente começam a trabalhar em um ritmo cada vez mais lento.
Você sabia que…
– Quando se trata de inteligência, o tamanho do cérebro não parece ser um fator definitivo
– Indivíduos com mais massa cinzenta parecem ter uma capacidade cognitiva ligeiramente maior.
– Mas as pesquisas mostram que a substância branca é crucial para acelerar o pensamento. É ela que abriga todas as conexões entre as áreas do cérebro.
– Essas conexões são chamadas de vias neurais, e cada um de nós tem centenas de milhões delas no cérebro. Se você juntar apenas as suas, eles percorreriam o mundo quatro vezes.
– Elas são isoladas por uma substância gordurosa chamada mielina.

Tudo isso nos foi explicado por Simon Cox, um dos especialistas da Universidade de Edimburgo que descobriu que uma das características dos cérebros de pessoas inteligentes são as melhores conexões. A velocidade de processamento depende de quão bem isoladas são essas conexões.
À medida que envelhecemos, a camada de mielina diminui e a comunicação entre os neurônios cai, porque os sinais não são transmitidos de maneira tão suave ou rápida e pode haver interferência de conexões vizinhas, explica Alan Gow, da Universidade Heriot-Watt.
“Outro processo que notamos é chamado atrofia, o encolhimento geral do volume do cérebro à medida que envelhecemos.”
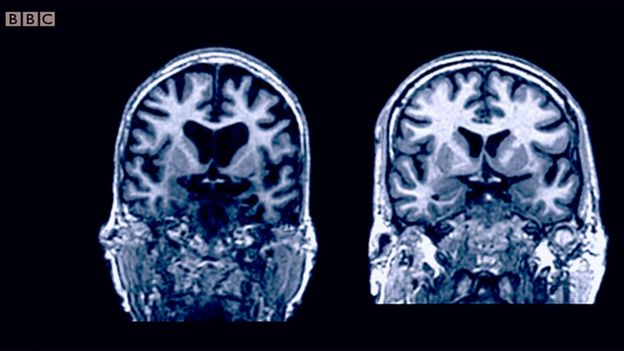
Podemos evitar a atrofia do cérebro?
É provável que sim. Veja como a massa cerebral é diferente entre as duas pessoas que aparecem na imagem abaixo. Ambas têm a mesma idade.

“Não parece ser algo inevitável: o nível de atrofia e danos à substância branca varia de pessoa para pessoa. O que queremos entender é que fatores no estilo de vida ou no comportamento fazem diferença”, diz Gow.
Uma pista pode estar oculta precisamente nos testes de QI. Apesar de serem frequentemente criticados, uma de suas vantagens é que eles são realizadas há muito tempo, revelando mudanças, como por exemplo um aumento tão expressivo no QI das crianças britânicas desde 1938 que foi preciso recalibrar os testes.
A razão? Há muito debate sobre isso, porque muita coisa mudou: hoje, temos comida e educação melhores.
Mas há um detalhe intrigante. Ao longo do século 20, houve basicamente um aumento do QI, mas, na virada do século 21, em muitos lugares, a curva ficou congelada e, em alguns, começou a declinar.
Um estudo específico com cidadãos da Noruega mostra que eles perderam 7 pontos de QI por geração entre os nascidos após 1975.
Ninguém ainda sabe o porquê. O que sabemos é que houve uma grande mudança em nosso estilo de vida nas últimas décadas.
O que a tecnologia está fazendo conosco?
Os cientistas de Imperial College estão particularmente interessados no impacto que nosso crescente uso da tecnologia tem sobre a memória, as habilidades espaciais e outras áreas da cognição.
Foi pedido que as pessoas dissessem quais aparelhos usam, o que eles fazem com eles e com que frequência eles fazem isso. Foram analisados também aspectos como pesquisas na internet, uso de redes sociais e jogos e compras online.
Para nossa surpresa, não há uma ligação clara entre a capacidade intelectual e o tipo de tecnologia usada ou a quantidade de tempo gasto nela. Exceto em uma área…
Quanto mais tempo as pessoas passam jogando jogos de computador, melhores são suas pontuações nos testes de memória de trabalho espacial (sua capacidade de lembrar onde estão as coisas, como as chaves do carro), atenção e raciocínio verbal.
Nesse caso, a idade efetiva não foi levada em consideração. Portanto, não se trata de jovens versus idosos, mas de um vínculo muito claro com o jogo.

Uma de nossas descobertas mais surpreendentes foi que os jogos podem realmente melhorar um dos principais componentes da inteligência: a memória de trabalho, nossa capacidade de manter temporariamente as informações ativas para uso em diferentes atividades cognitivas, como compreensão ou pensamento.
“Qualquer pessoa que tenha ido a algum lugar para fazer alguma coisa e tenha esquecido o que era na chegada sabe do que estamos falando”, diz Louise Nicholls, da Universidade Strathclyde.
As pessoas que jogam no computador obtiveram melhores resultados nesses testes do que aquelas que treinam mentalmente, indicando que esses jogos podem ser um hobby mais valioso para aqueles que desejam melhorar suas habilidades cognitivas.
Deve-se notar que estudos controlados sobre a relação positiva entre a quantidade de jogo e esse aspecto da inteligência produziram resultados consistentes com os da BBC, diz Nicholls. Mas importa qual é o jogo?
“Os resultados mais confiáveis falam especialmente dos videogames de ação, aqueles que envolvem navegar em diferentes ambientes, encontrar alvos visuais e tomar decisões rápidas. Mas até mesmo jogos de quebra-cabeças espaciais, como o Tetris, são benéficos”, afirma a especialista.
“No entanto, precisamos fazer mais pesquisas para saber, por exemplo, qual é o número ideal de horas de jogo, porque às vezes o hobby afeta as horas de sono e exercício e deixa de ser um benefício.”
Redes mentais
Há outro elo forte (e perturbador) entre aqueles que usam a internet excessivamente e obsessivamente e aqueles que se sentem ansiosos e estressados. Isso foi particularmente perceptível entre os mais jovens.
Até agora, é uma das evidências mais claras de que o uso excessivo da tecnologia pode ter um impacto negativo na saúde mental.
Embora essa ligação nunca tenha sido identificada em uma escala tão grande, “há muitas pesquisas indicando que o uso excessivo da internet está associado a problemas de saúde mental, principalmente em adolescentes e jovens”, diz Lee Smith, da Universidade Anglia Ruskin.
“Isso ocorre em parte porque as redes sociais às vezes incentivam comparações com objetivos impossíveis. Além disso, elas permitem quantificar nosso sucesso social. Essas duas coisas podem estar aumentando os níveis de estresse.”
Portanto, gastar menos tempo nas mídias sociais é melhor para a saúde mental.
Más notícias para os preguiçosos
Há evidências intrigantes de outra coisa que podemos fazer para maximizar nosso poder cerebral. Aparentemente, ter um bom condicionamento físico é bom para o cérebro.
Na Universidade de South Wales, são aplicados testes Stroop antes, durante e depois de as pessoas se exercitarem. Estes testes avaliam quanto tempo nosso cérebro leva para processar uma discordância nas informações.
É mais simples do que parece: quando os voluntários pedalam uma bicicleta ergométrica, eles veem as palavras aparecerem na tela.
São nomes coloridos, mas estão em outra cor – a palavra “azul”, escrita em letras vermelhas; eles precisam pressionar um botão da cor que diz a palavra.

Como o gênero nos afeta?
Um dos testes analisou a capacidade das pessoas de ler emoções corretamente em vários rostos. Descobrimos que aqueles que obtiveram melhores resultados têm irmãos e/ou irmãs e também aqueles que compartilham suas vidas com gatos e/ou cães.
Embora não exista diferença geral de inteligência entre os sexos, quando se trata de nossa inteligência emocional, as mulheres obtiveram melhores resultados do que os homens e aqueles que não se identificam com gêneros binários.
Nos testes de capacidade espacial e resolução de problemas, os homens obtiveram melhores pontuações que as mulheres e os não binários.
É preciso enfatizar que as diferenças foram pequenas, e há muito debate sobre se isso se deve à natureza ou à criação.
Uma análise recente de muitos estudos diferentes concluiu que as diferenças na capacidade espacial tendem a aparecer quando entramos na idade escolar, sugerindo que isso é em grande parte o resultado da pressão social e seu impacto em coisas como a seleção de brinquedos.
Vários estudos mostram que os estereótipos claramente continuam a existir e que podem ter um efeito significativo em certos testes de inteligência.
Pode-se fazer algo para combater estes efeitos? “Há um estudo muito bom no qual pegaram um grupo de meninas cujas habilidades espaciais não eram tão boas e as incentivaram a jogar Tetris intensamente por três meses”, diz a neurocientista Gina Rippon.
“As partes do cérebro que sustentam o desempenho espacial mudaram sutilmente. Assim, foi possível demonstrar como uma parte e função específicas do cérebro podem responder ao treinamento e mudar comportamentos.”
E o que acontece à medida que envelhecemos?
As pessoas que pontuaram melhor em inteligência verbal foram as que mais leram. Quem come mais frutas e verduras também teve bons resultados. Essa foi uma das habilidades cognitivas mais afetadas pelo estilo de vida.
E o mais interessante foi como as habilidades verbais variam de acordo com a idade. Enquanto todas as outras habilidades cognitivas diminuíram com a idade, a capacidade verbal aumentou, com um pico entre os 70 e 80 anos.
Isso foi uma descoberta interessante, porque estudos anteriores apontavam que o pico era atingido entre os 50 e 60 anos e depois declinava.
“A habilidade verbal é um exemplo de inteligência cristalizada”, explica Smith. “São habilidades que acumulamos por meio do aprendizado e da experiência e que continuamos a desenvolver e podemos reter até a velhice.”
Na Escócia, uma pesquisa deu uma ideia disso. Em 1947, crianças de 10 e 11 anos de todo o país fizeram um teste de inteligência.
Décadas depois, cientistas da Universidade de Edimburgo procuraram aquelas crianças, agora com 70 anos, para refazer o mesmo teste, com a ideia de analisar os resultados e procurar as chaves para o envelhecimento bem-sucedido.

Um grupo de crianças que fez um teste de inteligência em 1947 o realizou novamente décadas depois
O pesquisador Ian Dearry comparou os resultados. Para entender por que o cérebro de algumas pessoas envelheceu melhor que outras, ele as submeteu a outros testes, incluindo perfis genéticos e questionários detalhados sobre seus estilos de vida.
“Há uma pequena contribuição de certos fatores genéticos, mas o maior fator é o estilo de vida”, diz Dearry.
Sua pesquisa mostrou que aqueles que eram consistentemente ativos fisicamente e mentalmente tinham melhores habilidades de raciocínio. Isso também é verdade para quem aprendeu outro idioma.
“Certamente, há evidências crescentes de que aprender ou se envolver em algo novo ajuda a reforçar ou criar novas conexões. De fato, aprender outro idioma em qualquer idade pode ser benéfico”, diz Gow.
Depois de analisar tantos estudos, qual seria seu principal conselho para manter o cérebro jovem?
“A atividade física é a que parece consistentemente ser a mais benéfica, mas não devemos esquecer as conexões sociais: não ficar sozinho é importante para a saúde mental.”
Antes de encerrar, vale lembrar que existem coisas que esse tipo de teste não pode medir, como personalidade. E a característica de personalidade mais importante nesse contexto é a dedicação. Estudos indicam que ele pode compensar qualquer deficiência. Então, exercite-se enquanto joga videogame em russo no computador!
Fonte: BBC
Dr. Michael Mosley e Dra. Hannah Fry










